Oral pathology & oral cancer collaboration project with Eurasia countries received funding for two more years
In 2016 CCBIO’s Associate Investigator Professor Daniela Elena Costea received 3 million NOK in funding from the Norwegian Agency for International Cooperation and Quality Enhancement in Higher Education (https://diku.no/en) for a 3 year collaboration project for education and research in oral pathology and oral cancer between Norway, Moldova, Belarus and Armenia. Due to its achievements, the project was selected for two years of additional support.
Main content
The most important and successfully achieved activity of this project has been the generation and implementation of joined standardized guidelines for education and training in oral pathology for dentists at undergraduate and graduate levels at the collaborative institutions. A blueprint of a harmonized curriculum for education and training in oral pathology was achieved during the first year of the project (2017). Its implementation started last year (2018) and is still taking place at all collaborative institutions.
Media attention
A workshop summarizing the achievements of the first 3 years of the project took place in Minsk, Belarus on 28 September – 3 October. Strategies for sustainability of the project and harmonization of the student examination procedures were also discussed. Delegations from all Norwegian institutions that provide educational programs for future dentists and dental hygienists were present there (University of Bergen, University of Oslo and University of Tromsø), as well as representatives from all Eurasian institutions involved in the project from Moldova (University of Pharmacy and Medicine ‘Nicolae Testemitanu’), Armenia (Yerevan Medical State University) and Belarus (Belarusian Medical State University).
The workshop was perceived as an important event in the academic arena of the Belarusian Medical State University and received much attention from both the academic community and media (link to a TV news story), this contributing to the societal aspects of the project that ultimately aims at increasing the competence of dentists for handling oral mucosal diseases and earlier detection of changes that might progress to oral cancer as well as to increase the awareness on oral cancer of the general public.
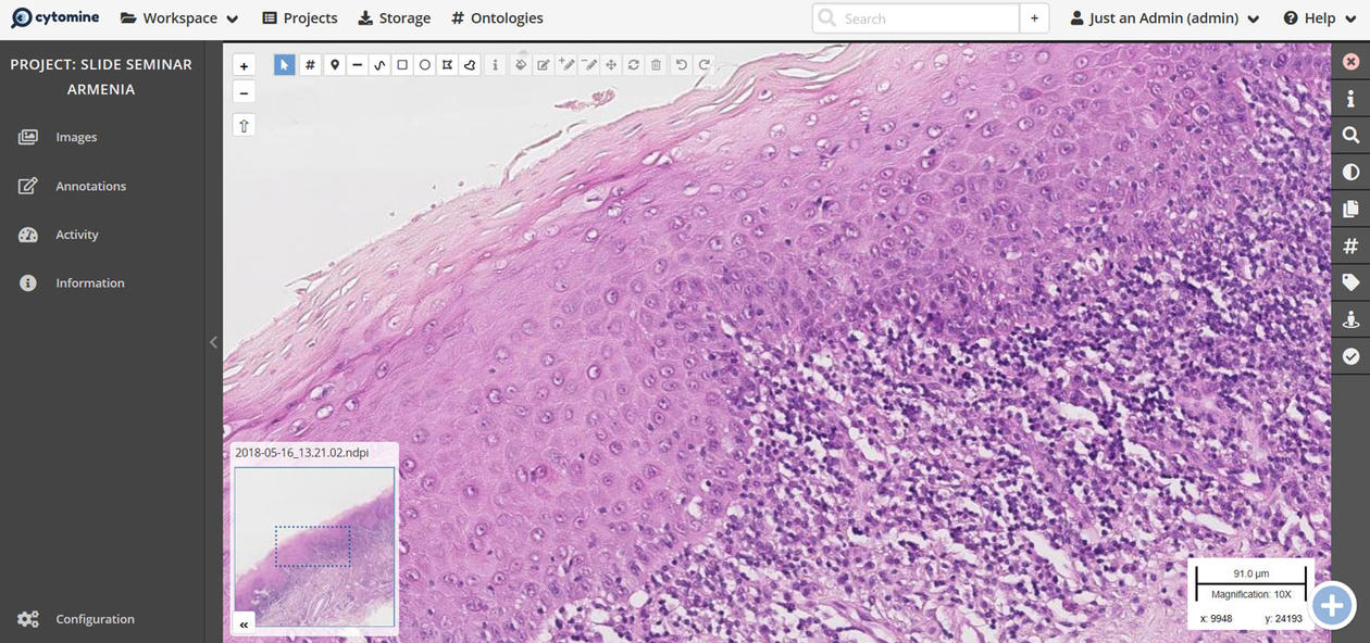
Bespoke digital platform
Another major achievement of the project was the establishment of a digital platform comprising oral pathology cases representative of most oral diseases. With the invaluable contribution from the Department of Pathology, Haukeland University Hospital, Bergen, a library of microscopical slides has been developed with the most common oral disease entities. The digital platform using the open source software CYTOMINE, where digital slides of representative cases are continuously uploaded and shared between participating institutions, has been established with support from the IT Department at the University of Bergen. The software is installed on the platform in Norway called UH-IaaS (https://it.uib.no/UH-IaaS ) run by the IT Department at the University of Bergen (responsible IT engineer Helge Opedal), and the USIT Department at the University of Oslo (http://cytomine-core.app.uib.no/#/. This digital platform is already in use as a virtual microscope for training in oral pathology at the collaborative institutions in both in Norway and Eurasia. Through this platform, the project will provide a sustainable and long-lasting platform for joined research-based education in oral pathology both in Norway and Eurasia.
Further exchange activities
Satellite to the workshop in Minsk, a hands-on practical course took place at the Medical State University ‘Nicolae Testemitanu’ in Chisinau, Moldova for training the teaching personnel involved in the teaching of the newly implemented course in oral pathology there.
In medio November, two of the teaching personnel from the Moldova university, lecturers Mihai Parnov and Radu Negulescu will come to the University of Bergen for one week in a staff exchange program, for sharing expertise in the oral pathology field.
